操作指南
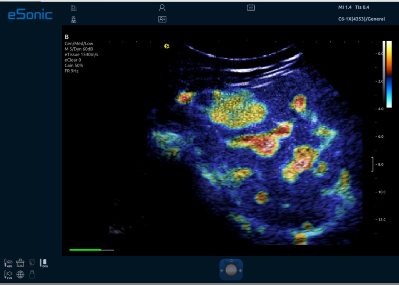
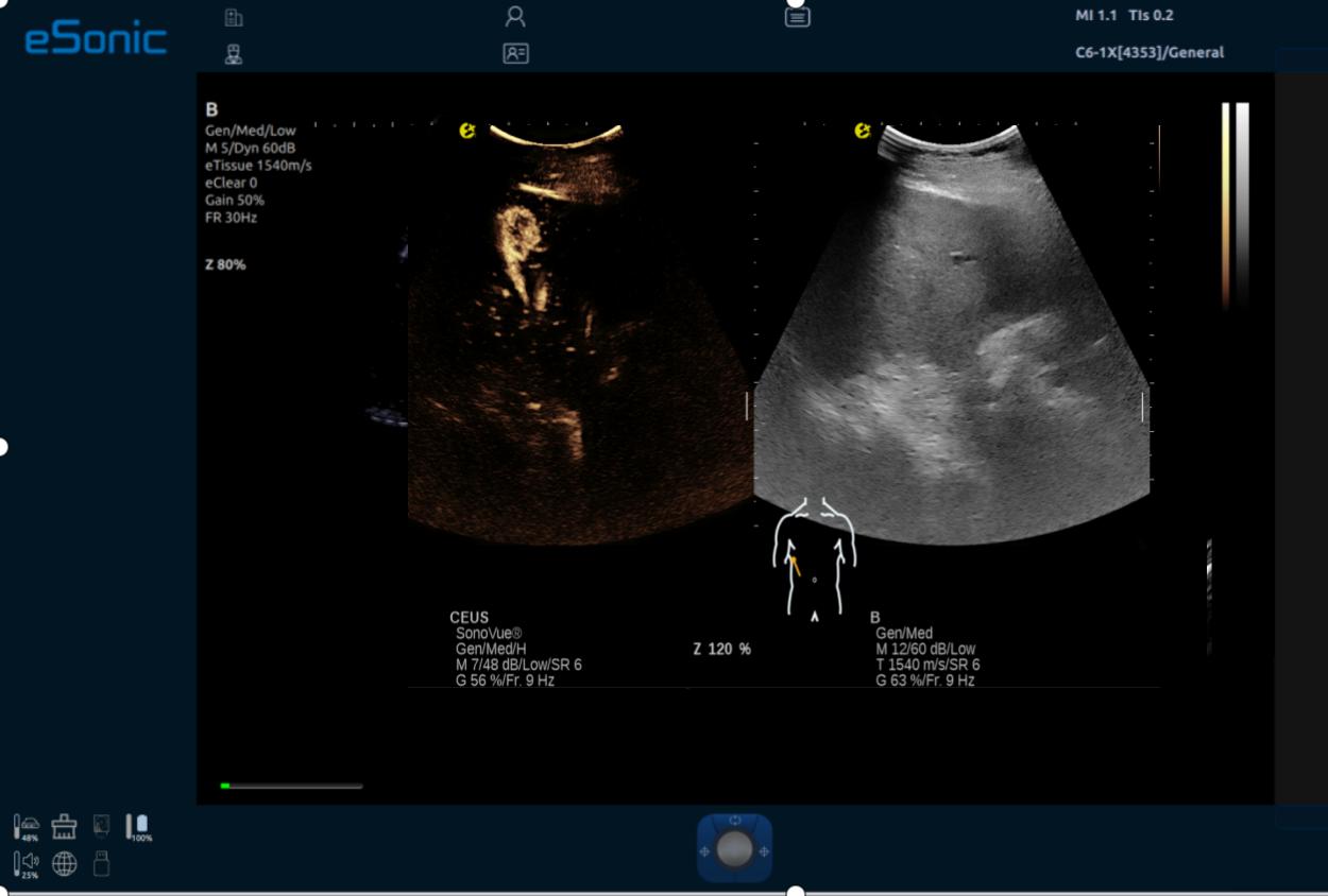
ePascal东风80通过专利的纯软件波束成形和扫描转换技术,消除了传统的硬件负担。无论是宽带宽能力、超高速采集(帧频可达到25000帧/秒)和数据传输速度(可达到10GB/秒),还是高端图形图像处理器(GPU大算力)的首次应用,都为医生们提供了前所未有的诊断信心。这些技术共同作用下,使得图像对比度分辨率显著提升,细节展现得淋漓尽致。其中ePascal东风80融合了RTSWE?实时E成像、QSOS?声速定量成像、ATITM高级声衰减成像、超微血流成像,平面波全息多普勒以及智能穿刺引导等超声领域多项前沿创新技术。
可满足超声科、体检科、介入科、妇产科及其他临床科室的全身应用需求,以其卓越的性能和创新的超声影像技术,在医疗领域引起了广泛关注。
?:400-0628060 ?:esonic@esonicimage.com
COPYRIGHT? 3377体育影像 京ICP备2022002181号-1
药品医疗器械互联网信息服务备案:(京)网药械信息备字(2025)第 00057 号