esonic@esonicimage.com

      

横版logo.jpg


高端准台式彩色多普勒超声系统eHertzR搭载了全球领先的eHertz系列的成像技术及3377体育独家创新的超声结构理念。提供了优异、真实的图像质量,高端的临床性能,多领域定量功能,及创新性人机工程学设计。集出色的图像、高端功能、移动性、连通性于一身,使其无论在传统的超声科领域还是在临床应用领域都卓然出众。

临床图像
心尖四腔心
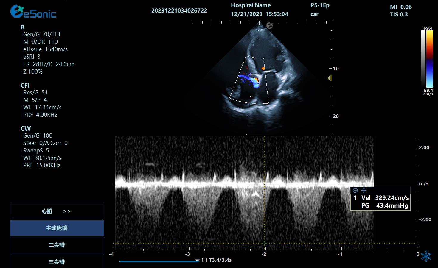
三尖瓣返流
心脏彩色M型
组织多普勒
甲状腺乳头状癌微血流
神经阻滞
穿刺智能map
e 智IMT
颈静脉自发显影
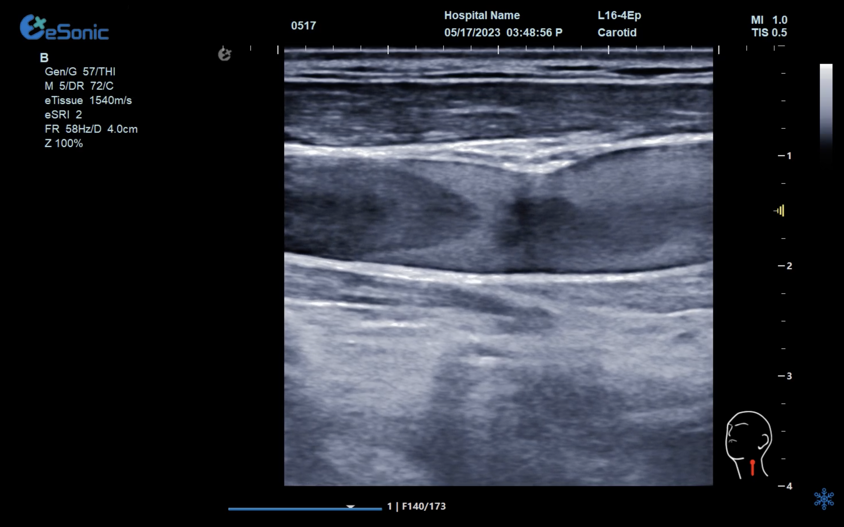
颈部血管
桡浅动脉

?:400-0628060 ?:esonic@esonicimage.com

:3377体育影像-ESI

COPYRIGHT? 3377体育影像  京ICP备2022002181号-1

药品医疗器械互联网信息服务备案:(京)网药械信息备字(2025)第 00057 号